Learn how to start treating your first patients with ease.
Step-by-step instructions on working with aligners
Grab the workshop only for $27
standard price $99
Workshop creator:
dr. Nana Gezalova Candidate of Medicine
Dr. Nana Gezalova is the author of the workshop. She holds a medical science degree and has 20 years of experience in orthodontics.
In 2012, she was one of the first in the country to become certified in working with Invisalign aligners. From 2013, she has been training other doctors to work with these aligners, and in 2015 she created a training course called "Transparent Orthodontics."
She was the clinical director of distribution company Invisalign, the official speaker of Invisalign. He is the owner of a network of private clinics that have been using Invisalign since 2017.
She has participated in regional and global conferences in Dubai, Istanbul, Vienna, London, and Costa Rica, and has spoken in Kazakhstan, Armenia, Russia, and Ukraine. She has personally treated over 1,500 patients with Invisalign and has trained more than 10,000 doctors over the past 10 years.
standard price $99
Grab the workshop only for $27
⚠ Workshop information provided is based on a professional experience and doctors training on Invisalign aligner treatment technology, although not limited to, so you can apply the acquired knowledge in work with other aligners technologies.
⚠ You don’t have to be certified to receive training
THIS WORKSHOP FOR YOU IF
You are going to start working with aligners
Don’t know how to progress from braces to aligners
Want to confidently take the patients for aligners
standard price $99
Grab the workshop only for $27
Want to learn the biomechanics with aligners common principles
Learn how to resolve
Don’t know how to work with aligners
Ineptitude
You have some concerns about what cases can be treated with align therapy
Concerned
Worry about how to hold the conversation with your first patient
Anxiety
standard price $99
Grab the workshop only for $27
Dr. Nana Gezalova has already trained over 10,000 doctors since 2013, so she will surely be able to help you with your practice on aligners treatment.
Working as a clinical director of the Invisalign distributor company, and then as an official speaker of the Invisalign company itself, Dr. Nana Gezalova constantly provided training and educated herself, including live communication with the company’s technicians in Costa Rica, who support all the doctors and all the company’s cases.
Important information: Dr. Nana Gezalova’s experience is based on the Invisalign company work, but you can apply the acquired knowledge for the other systems, just because the manufacturer is the instrument, due to wich you can treat the patients as a doctor.
To meet the challenges:
We will learn where the aligners are applicable and where they are not
We will get ready for your first patients by the real cases examples
We will gain confidence, needed for your first aligners practice
Step 3:
Step 2:
Step 1:
standard price $99
Grab the workshop only for $27
How workshop is structured:
standard price $99
Grab the workshop only for $27
Introduction
Aligners. What is it?
Aligners history
How does the dental alignment work?
Aligners process of making
At what age one can be treated with aligners therapy so far?
TOP 7 most common myths about the aligners and its debunking
What’s the difference between the doctors working with braces and those who work with the aligners?
What’s the difference between the biomechanics with aligners and the braces?
How to start working with aligners?
Do you have to be certified in the aligners therapy treatment before you take your first patient?
How to start working with the patient? How to get the aligners cases?
How to welcome your first patients?
What is “attachment”? Why do we need it? What’s the difference between it?
Biomechanics in basic movements at aligners
bonuses
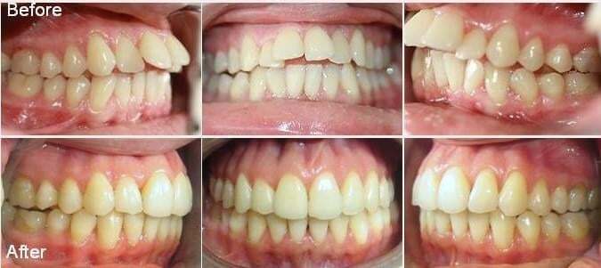
There are different clinical cases of working with the aligners
FAQS
Right after the payment you will receive information on your email with access to the platform where the workshop will be. As well as all other products that you will request from us in the future.
The workshop will be available forever
You can ask questions at the email address below the lesson.
30 Days Money Back Guarantee
Your purchase is backed by a 100% money back guarantee.
You get access to the course, apply it to your life and see how it works for you.
And if you are not blown away by what you have learned just send us an email and request a refund within 30 days.